Enhancing your smile
What is Cosmetic Dentistry?
The words cosmetic dentistry mean to cosmetically restore or improve a person’s smile. Whether you’re looking to whiten your smile, straighten your teeth, or you’re considering a full mouth restoration, we use smart technology and proven techniques to achieve your goals.


Why choose Green Room Dental for Cosmetic Treatments?
Every patient we treat has different cosmetic dentistry needs, we listen to your wish list and formulate a treatment plan with you to achieve your goal.
Select from our cosmetic treatments:

Veneers
Dental veneers are an increasingly popular cosmetic procedure. Veneers are ultra-thin, custom-made laminates that are fixed directly to the teeth. They are a great option for closing gaps, disguising crooked or rotated teeth, covering up discoloured or damaged teeth and restoring worn teeth.
Find out more

Composite Bonding
Composite bonding is an affordable and predictable treatment to improve the shape, colour and appearance of your teeth. It is useful for cosmetic enhancement, to replace tooth structure that has been lost through wear and tear, or following injury. It involves bonding a tooth coloured composite resin material to existing teeth to reshape them or improve their colour.
Find out more

Whitening
Have you ever wondered how celebrities have such bright, beautiful teeth? Quite simply they have them whitened. Our tooth whitening systems can restore a whiter, more youthful appearance – safely and effectively. You have control on how white you go and our system allows simple touch ups to maintain a gleaming smile.
Find out more

Clear Aligners
If you’re not completely happy with your smile, but aren’t a big fan of metal braces, clear aligners might be just the thing for you. Straighter teeth don’t just look better; they work better too. Poorly-aligned teeth can interfere with bite function, can wear out faster, and are more prone to cavities. And once you’ve got a smile you love, you may just find you can’t help but show it off.
Find out more
50+
Years Experience
WOW! Dental Awards Winner
Posted on Person For Life13 November 2024 Helpful and friendly staff who always can't do enough to help you.Posted on Katherine Stott29 October 2024 What a great dentist.Was really surprised I got a place.Posted on Carl Leadbetter17 October 2024 I have been a patient of Richard’s for 25 years. Throughout, he has been an excellent dentist and has built an outstanding practice. The Green Room is smart, modern and its staff are professional and helpful. Every one seems happy. Richard invests in the best of modern equipment to ensure his patients receive the best attention. Faultless.Posted on Alexandra Peto3 October 2024 All staff so friendly and welcoming , excellent service Thank you so muchPosted on Steve Parkinson2 October 2024 After initial research into which dentist practice in Cornwall and Devon are specialist in implants it became clear that Greens dentist of Newquay are clearly front runners. After the initial assessment and plan of what was needed (2.5 hours) for my implant, it was obvious why they are very highly rated. From the front of house staff and all the other dental technicians I came into contact with were both highly trained, knowledgeable and pleasant. Richard, my dentist was very thorough and open in all of his assessment and approach to my needs, and what I required, at all times I felt very confident in the process and did not feel that he was pursuing any other agenda. I can say with all honesty that at no point did I feel uncomfortable or in any pain. Which I must add, that with previous dentist I regularly did. The end result was far better than I could have imagined. I have a difficult bite profile, but because of Richards professionalism and attitude, the result was amazing. It's not a quick process but worth the time and even better the value for money. I would highly recommend this practice as it sets very high standards and is clearly a model to envy and emulate.Posted on Jess Shepherd20 September 2024 I have dental anxiety and have never been to such caring practice.So welcoming, put me at ease, reassure me during treatment.The whole team are 5* , relaxing atmosphere, makes it so much easier for me to go there.Yes, it can cost but when you find the best, it's worth every penny.Thank you.Posted on janice mcnally31 July 2024 Always highly professional, comfortable, pain free (I’m a nervous patient). Skilled staff at every level. No hesitation in recommending,Posted on David Napier16 April 2024 Amazing dental practice, it's modern, very professional and has a nice feel to it when you are there. Garrath Sambrook is an excellent dentist, he listens very carefully to what you require and understands. I had a really really good experience from day one of having my braces fitted in Lander Dentistry in Truro, I followed Garrath to Green Room as he knew my dental plan inside out. My braces experience has come up to 2 years now and honestly the whole process has been fantastic. My teeth were not great before but now they are so straight and what imagined them to be, sounds cliche but they have improved so so much in that time. It was worth doing 100%. The customer service I received was so good, no issues at all in all that time and everything was communicated to me efficiently even to now, when there are few extras like retiainers or smth that need organising. Cliche again but I've been treated so well throughout by Garrath and everyone at the practices. Any dental work or appointments you are best off going to Green Room. Really good experience cant emphasise enough! Any issues or queries they are on it which is good as teeth issues can be complicated! No faults from me with my experience at all and I'm a fussy person.Posted on Charlie Campbell1 March 2024 What a fantastic practice. I’m an anxious patient that hasn’t been to the dentist in a while, so I came to the green room to help work on my dental anxiety and regain control over my dental health. It’s been incredible. I’ve had a few appointments so far all of which have been painless, I might even say comfortable! I find myself feeling less and less anxious with every step. It comes at a price, but that price is worth every penny. You leave feeling like you’ve got your moneys worth. I implore anyone who is nervous about dental work to give them a chance. You will not regret it. They truly are in a league of their own. Thank you Green Room!
5 Star Google Reviews
GDC Registered
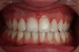
Veneers
Dental veneers are an increasingly popular cosmetic procedure. Veneers are ultra-thin, custom-made laminates that are fixed directly to the teeth. They are a great option for closing gaps, disguising crooked or rotated teeth, covering up discoloured or damaged teeth and restoring worn teeth.
What are veneers?
Veneers are wafer-thin laminates or shells of tooth-coloured material (which can be either porcelain, ceramic or composite bonding material). They are bonded to the front surface of teeth to improve their cosmetic appearance.
How much do veneers cost?
From £1050 per tooth.
What is involved?
We start with a consultation to gather information to create your smile design. This can then be presented to you in person or via email/WhatsApp. The next appointment is to carefully prepare the teeth by removing a thin layer from the front surfaces. We then take a digital ‘mould’ with an intra-oral scanner and fit temporary veneers. These are usually to the proposed design so you get an idea of the final look. Two weeks later the veneers are bonded to the teeth and you are ready to face the world.


Examples of before and after veneers
Your questions answered about Veneers
As mentioned earlier we start with a consultation to gather information to create your smile design. This can then be presented to you in person or via email/WhatsApp.
The next appointment is to carefully prepare the teeth but removing a thin layer from the front surfaces. We then take a digital ‘mould’ with an intra-oral scanner and fit temporary veneers. These are usually to the proposed design so you get an idea of the final look. Two weeks later the veneers are bonded to the teeth and you are ready to face the world.
We most commonly make veneers from a glass-ceramic called lithium disilicate. The benefits of this material include bio-compatibility, high strength and resistance to staining. Most importantly it is incredibly natural looking with a translucency akin to natural teeth.
It is worth noting that the process itself is typically irreversible because your dentist must usually remove a small amount of enamel from your tooth to accommodate the veneer (usually just a millimeter). That means that if you need to remove a veneer, you’ll have to replace it with a new one.
Maintaining your veneers helps increase longevity. Care for your new veneers the same way that you care for the rest of your teeth. Good oral hygiene is essential.
Over time any dental material can wear or chip, just like natural teeth.
Veneers can last 15 years or more if cared for. With routine dental hygiene and regular visits to your dentist, veneers can last for many years without breakages or discolouration.
Getting the most out of your veneers and your beautiful sparkling smile comes down to making sure you treat them well. Here are some easy ways to care for your veneers:
- Avoid Grinding: If you have a habit of grinding or clenching your teeth we recommend a bite guard to wear at nighttime to ensure you won’t damage your veneers.
- Brush and Floss Regularly: This one’s easy—make sure you’re brushing and flossing or cleaning between your teeth regularly and checking in with your dentist if you experience any issues.
- Wear a Sports Mouth Guard: If you play a sport, we strongly recommend wearing a mouth guard to avoid any potential chips or cracks.
- They are Teeth, not Tools: Never use your teeth, including those with veneers, to bite your nails, rip sellotape, to open packages or loosen knots, as doing so could damage your veneers. Remember – they’re teeth, not tools!
Where possible we prefer veneers to crowns for cosmetic improvements as we remove only a thin layer off the front of the tooth. This means there is very little risk of damaging the integrity of the tooth. With a crown there is more tooth reduction and risk if the tooth pulp (nerve) dying.
Why is Green Room Dentistry the place to have veneers done?
Before embarking on improving your smile you need to know what is possible. It is not simply a case of putting on some veneers and it will miraculously be just what you envisioned.
Understanding this is why we have gained our reputation in this field as we meticulously plan your new smile.
The process involves finding out what you are unhappy with, what your ideal smile would look like and what is achievable. We take digital scans, lots of photographs and work closely with our expert dental technicians to produce a design for you to approve before treatment starts.
The best flattery for our efforts is when people comment “is there something different about you, you look great!” rather than “you’ve had your teeth done”.
Composite Bonding
Composite bonding is an affordable and predictable treatment to improve the shape, colour and appearance of your teeth. It is useful for cosmetic enhancement, to replace tooth structure that has been lost through wear and tear, or following injury.
What is involved with composite bonding?
Like all good dentistry it starts with careful planning. Once we understand your concerns about the appearance of your teeth in terms of colour, shape and alignment we can provide you a preview of what can be done. Frequently we will sculpt composite onto your teeth, without adhering it, so you can see for yourself how your smile could look. We prefer this to just creating an image of the proposed result as nothing beats seeing the transformation for real. Think shopping online as opposed to actually seeing the item.
When it comes to adding composite we don’t usually remove any tooth structure. To bond, we add directly onto the tooth.
Enhancing your natural teeth
Composite Bonding involves bonding a tooth coloured composite resin material to existing teeth to reshape them or improve their colour.
It can be used for everything from minor imperfections to closing gaps between teeth.
How much does composite bonding cost?
£330 – £660 per tooth
Examples of before and after composite bonding
Your questions answered about Composite Bonding
If you are unhappy with the brightness of your teeth then tooth whitening first is essential. It enables us to use composite bonding to enhance rather than mask your teeth giving a superior result.
Composite bonding will usually last 5-6 years before it needs to be polished up or repaired in some way. As little to no tooth structure is removed with bonding, the underlying tooth structure remains undamaged. This makes future treatment possible and maximises the lifespan of your tooth.
When choosing a treatment it is always a balance between cost, lifespan and whether the tooth needs irreversible preparation. The main differences are:
- Veneers cover the entire front surface of the tooth whereas bonding can be used for minor imperfections right up to complete facings.
- Veneers usually require removing a thin layer of tooth enamel, an irreversible procedure.
- Veneers last 10 to 15 years or more and keep their shine and lustre with no additional treatment.
- Porcelain veneers are stronger and more hard wearing than composite bonding.
In mild cases we can use dental bonding to straighten the teeth. In others, orthodontic treatment may be more suitable to firstly improve tooth alignment and how they bite. See: Clear Aligners. We often perform a little bonding after straightening to correct underlying imperfections due to tooth shape, wear and chips.
For simple cases the whole process can be done in one visit. Where detailed planning is required we would need up to three visits. The first for a digital mouth scan, photos and discussion of your requirements, the second to show you the proposed result and suitable treatments and the final one to carry out the composite bonding.
- Quickly improve the appearance of your smile
- Drilling and injections are rarely necessary
- Avoids tooth sensitivity
- Preserves the integrity of your teeth
- Long lasting – composite bonding can last 10 years with a little maintenance
- Can often be completed in one visit
- Unsuitable for smokers as the composite can eventually stain
- If you grind or clench your teeth then wearing a night guard is essential to prevent chipping.
Composite bonding at Green Room Dentistry
This is one of the treatments we provide most frequently at Green Room Dentistry alongside tooth whitening. We like to preserve tooth structure and composite bonding often means no drilling. When it comes to designing your new smile with you, the accumulated experience of the dentists and dental technician partners comes into play. We try to make each case individual and not just a ‘cookie cutter’ approach.
Whitening
Have you ever wondered how celebrities have such bright, beautiful teeth? Quite simply they have them whitened. Our tooth whitening systems can restore a whiter, more youthful appearance - safely and effectively. You have control on how white you go and our system allows simple touch ups to maintain a gleaming smile.
What is involved?
Like many of our treatments it starts with a digital mouth scan. A few days later we provide you with bespoke whitening trays, which accurately fit to your teeth, and a whitening gel. We show you how to apply the gel then send you home to carry on treatment until you reach the desired result, usually after a week or two.
What is the cost of tooth whitening?
£600 (patients with our Dental Plan pay £500)
The cost of teeth whitening can vary greatly depending on what you use and where you get it. While over-the-counter teeth whiteners are the least expensive, they may not be the most effective because they cannot legally have the required strength of peroxide, are not tailored to your specific needs and they may increase the risk of having sensitive teeth.
Other dentist-administered teeth whitening treatments may be more expensive because of costly teeth whitening lights or lasers used in the procedure, but these accessories generally do not provide any added benefit.
Green Room professional teeth whitening offers the benefits of a dentist prescribed whitening treatment without any costly gimmicks, making it the best value.
Examples of before and after tooth whitening (patient in second image also had composite bonding treatment)
Your questions answered about Teeth Whitening
Teeth whitening is the removal of stains and discolourations from the enamel and dentine. The outer layer of the tooth is enamel, and beneath the enamel is dentine. Enamel is thin and typically much lighter in colour, while dentine is darker in colour and makes up the bulk of the tooth. Enamel can be discoloured over time simply from age, but also from outside sources like coffee, tea, tobacco, and other foods and drinks. As we age, our enamel thins, causing more dentine to show through, making the overall appearance of the tooth look darker.
Whitening your teeth removes these stains and discolourations, giving you a whiter, brighter smile. The active ingredients whitening gels, hydrogen or carbamine peroxide, pass into your teeth to oxidise the discoloured molecules deep down in your teeth, removing stains and whitening your smile. The whitening gel is sticky and viscous, so it stays where it’s placed. This unique feature prevents the teeth whitening gel from seeping out during treatment, ensuring both the gel and tray stay in place and work effectively for the duration of your treatment.
People whiten their teeth for many reasons. You can bring back some of that youthful appearance with a whiter, brighter smile. Do you have a wedding or important day coming up? A whiter smile can help brighten up special occasions. Some people whiten their teeth before a job interview to get that extra boost of confidence that comes with making a great first impression.
According to a recent survey by the American Academy of Cosmetic Dentistry, “close to one in two (48%) people believe that a smile is the most memorable feature after first meeting someone—more so than the first thing a person says (25%).” That same survey also found that “more than a third of respondents view people with a flawed smile to be less attractive (37%) and less confident (25%) than those with perfect teeth.”
Smiles make a lasting impression and a bright, white, beautiful smile won’t be forgotten.
Teeth whitening is a safe, comfortable way to get a bright, white smile. Results and treatment time may vary depending on the level of staining and whiteness desired. Crowns, bridges, fillings, and veneers will not whiten. Those with gum disease, worn enamel, cavities, and exposed roots may not be good candidates for whitening their teeth.
We recommend visiting your dentist for a pre-whitening consultation so that they can help you choose the professional option that best fits your needs.
Please note that you shall not whiten your teeth while pregnant, breast feeding or undergoing fertility treatment and that whitening is not allowed under the age of 18 years.
Tooth sensitivity is a relatively common side effect of teeth whitening. No harm is caused to your tooth as a result of a whitening treatment, and this discomfort is not an indication of damage to your tooth. If sensitivity occurs, it is most often temporary and will go away when you’ve completed the whitening process.
If you do experience tooth sensitivity, there are ways to treat it using desensitising toothpastes and we can provide gels to go in your whitening trays which soothe the teeth.
Lots of other in-office whitening treatments use an LED light or a laser during the whitening process. Maybe you’ve even seen adverts on social media and online where they use a light to whiten teeth. Are these lights and lasers really effective, though?
Current research shows that only hydrogen peroxide (the whitening agent used in our day gel) or carbamine peroxide (the whitening agent used in our overnight gel) are effective in whitening teeth. Light activation adds no additional benefit. In fact, some research shows that using a light for whitening can be harmful to lips and gums.
Everyone responds differently to whitening treatments and everyone will whiten at different rates. Some stains are easier to treat than others. Teeth that are yellow or brown are easier to whiten than teeth that are greyish. Younger patients typically whiten more quickly than older patients, but every patient is different.
When whitening, keep in mind that your smile looks most natural when the colour of your teeth matches the whites of your eyes. Some people want a Hollywood white smile, but that is not a natural colour for teeth and few people can actually reach that colour of white.
The usual treatment time is 1 to 2 weeks and longer with more challenging cases.
Teeth whitening results are very stable, leaving you with a stunning smile long after your teeth whitening treatment is over. However, there are a few factors that can make teeth lose their lustre. Things like genetics, diet, age, some medications (like tetracycline), and certain habits (like smoking) may affect the length of your whitening results. Fortunately, touch-up treatments are quick and easy, helping you get that bright, white smile back.
Results of research at the University of North Carolina found 92% of patients in the study had significantly lighter teeth after tooth whitening. This colour was maintained for 2 to 3 years with no further treatment.
Teeth Whitening at Green Room Dentistry
We have refined our professional teeth whitening system over the years to give you a lasting result with minimal inconvenience.
To start with our whitening trays are made by the leading laboratory in the UK from highly accurate digital mouth scans. These are durable and can last many years. We then choose the right whitening gel to suite your lifestyle and keep plenty in stock for future top-ups.
As dental professionals we can prescribe gel which is 60 times stronger than ‘over the counter’ whitening products.
As you would expect our whitening systems are fully compliant with current guidelines.
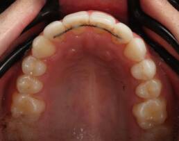
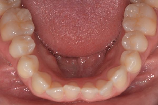
Clear Aligners
If you’re not completely happy with your smile, but aren’t a big fan of metal braces, clear aligners might be just the thing for you. Straighter teeth don’t just look better; they work better too. Poorly-aligned teeth can interfere with bite function, can wear out faster, and are more prone to cavities. And once you’ve got a smile you love, you may just find you can’t help but show it off.
What are Clear Aligners?
Aligners are thin clear flexible plastic ‘mouth-guards’ which fit closely over the teeth. A series of aligners is used to move the teeth incrementally according to a treatment plan developed by the dentist. Aligner appliances are ideally suited to adult patients whose life-style or work commitments make it difficult for them to wear more visible traditional wires and brackets.
How much do Clear Aligners cost?
Assessment £315
Single arch from £3068
Dual arch from £6136
Examples of before and after clear aligners
Your questions answered about Clear Aligners
Based on your unique prescription, we use advanced technology to create custom clear aligners that apply targeted pressure to your teeth, slowly moving them into alignment. You wear each aligner for 2 weeks until the teeth are fully aligned.
To correct misaligned teeth a growing number of patients and dentists prefer clear aligners to traditional wires and brackets, due to advantages such as:
- Nearly-invisible appliances
- No dietary restrictions
- No obstructions to flossing or brushing
- Controlled single-tooth movement
Compared to traditional wires & brackets, clear aligners are:
- Comfortable. Compared to traditional wires and brackets, clear aligners are comfortable.
- Removable. It’s easy to remove aligners and eat whatever you like. There are no wires to trap food or get in the way when you floss.
- Discreet. Clear aligners show off your smile, so most people won’t even notice you’re wearing them.
Aligners are most commonly used in cases needing alignment of teeth without tooth removal.
Routine aligner treatments include:
- Mild-moderate dental irregularity
- Overcrowding which can be corrected with mild expansion of the dental arch
- Overcrowding which can be corrected with reductions in tooth width (slenderising)
- Mild spacing
The following cases are examples of when an aligner treatment may require the use of additional techniques such as fixed appliances (wires and brackets) to achieve an ideal result:
- Severe crowding
- Treatments that require tooth removal
- Treatments that require complex tooth movements
- Problems that reflect an underlying discrepancy in size or position of the jaws.
You wear your aligners for 22 hours a day, 7 days a week. You can take them out for eating and toothbrushing.
Included in your treatment are retainers to keep your teeth straight. Retainers are essential in almost all cases to help prevent the teeth moving once the teeth are aligned.
There are two reasons for wearing retainers:
- Teeth tend to want to move back towards their original positions. This is called relapse.
- As we get older our teeth may start to move unpredictably, often showing some crossing over and increased in crowding.
By wearing retainers long-term we can reduce these age changes in the position of the teeth. The longer you wear retainers, the longer you can keep your teeth straight.
Retainers are fitted at the end of aligner treatment. They can be either removable or fixed onto the teeth and we usually use both for complete peace of mind.
The removable retainer is similar in appearance to the clear aligner and is worn overnight. The fixed retainer is a wire bonded to the inside of the teeth so it doesn’t show.
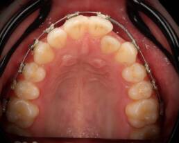
Fixed Braces
Fixed braces are a reliable and effective orthodontic treatment that gently guides teeth into their ideal positions, delivering lasting, beautifully aligned results.
What are fixed braces?
Fixed braces are non-removable orthodontic devices, often called “train tracks” used to straighten teeth and correct bites by applying consistent, gentle pressure. They consist of metal or ceramic brackets bonded to each tooth, connected by a flexible wire (arch wire) that guides teeth into position over a period of 12–36 months.
How much do fixed braces cost?
Assessment £315
Single arch from £2725 (metal) or £2850 (ceramic)
Dual arch from £5450 (metal) or £5700 (ceramic)
For children we offer dual arch treatment for £3950
Examples of before and after fixed braces.
Your questions answered about Fixed Braces
Your braces will be fixed to your teeth throughout your treatment. Using metal or ceramic brackets and wires, we precisely position every tooth.
Fixed braces straighten teeth using a combination of brackets and wires. Our dentist Garrath will attach a small square bracket to the front of each tooth and connect them using a thin wire secured by elastic bands. This wire gradually aligns your brackets and teeth into the perfect position.
Every 6–8 weeks we will arrange a review appointment to check your progress and adjust your braces. This usually involves changing your wire and elastic bands.
Fixed braces offer precise, controlled tooth movement, making them one of the most effective options for correcting a wide range of orthodontic issues. They work continuously, can’t be misplaced, and deliver predictable, long-lasting results making them a trusted choice for both teens and adults.
Fixed Braces:
- Attached to the teeth and work continuously.
- Highly effective for complex movements, rotations, and bite corrections.
- Not removable, so compliance isn’t an issue but good hygiene is required.
- More visible, though options like ceramic braces can be less noticeable.
- Regular adjustments with our dentist, Garrath.
Clear Aligners:
- Removable, transparent trays that gently move teeth.
- Best for mild to moderate orthodontic cases.
- More discreet and convenient for eating and cleaning.
- Require consistent wear (20–22 hours/day) to be effective.
- May not be suitable for certain complex tooth movements.
In summary, fixed braces offer maximum control and are ideal for more complex cases, while clear aligners provide a discreet, flexible option for those with milder to moderate alignment needs.
Aligners are most commonly used in cases needing alignment of teeth without tooth removal.
Routine aligner treatments include:
- Mild-moderate dental irregularity
- Overcrowding which can be corrected with mild expansion of the dental arch
- Overcrowding which can be corrected with reductions in tooth width (slenderising)
- Mild spacing
The following cases are examples of when an aligner treatment may require the use of additional techniques such as fixed braces (wires and brackets) to achieve an ideal result:
- Severe crowding
- Treatments that require tooth removal
- Treatments that require complex tooth movements
- Problems that reflect an underlying discrepancy in size or position of the jaws.
Included in your treatment are retainers to keep your teeth straight. Retainers are essential in almost all cases to help prevent the teeth moving once the teeth are aligned.
There are two reasons for wearing retainers:
- Teeth tend to want to move back towards their original positions. This is called relapse.
- As we get older our teeth may start to move unpredictably, often showing some crossing over and increased in crowding.
By wearing retainers long-term we can reduce these age changes in the position of the teeth. The longer you wear retainers, the longer you can keep your teeth straight.
Retainers are fitted at the end of fixed orthodontic treatment. They can be either removable or fixed onto the teeth and we usually use both for complete peace of mind.
The removable retainer is similar in appearance to a clear aligner and is worn overnight. The fixed retainer is a wire bonded to the inside of the teeth so it doesn’t show.
Why choose Green Room Dentistry to straighten my teeth?
If you google tooth straightening you will be bombarded by ‘direct to consumer’ aligners promising great results at low cost. If it sounds too good to be true – well you know how that ends.
We know doing things properly requires a thorough in person assessment, careful planning and monitoring as your treatment progresses. Once we have established how you would like your teeth to look we send off your mouth scans, x-rays and photos to our orthodontic partner who will produce a preview of your new smile.
We have partnered with Clear Correct, part of the Straumann group, the most trusted and respected name in dentistry today.
We then look after you every step of the way and take great satisfaction in the end result.
Anything else we can help you with?
Arrange a consultation and together we’ll find what’s right for you and your dental health.
What our lovely clients say...
"Just wanted to say how delighted I am with the work you have done on my teeth. You made me feel relaxed and safe during these difficult times. Feel like a new person with my new teeth!! Thank you so much."
Treatment: Veneers
"All the staff are absolutely lovely. At these trying times they make you feel safe and cared for. Had many procedures over the years. Wouldn’t dream of going anywhere else."
Treatment: Aligners
"Very caring team who listen to their patients and look after them all the way through from check up to treatment. I have been attending the Green Room Dentistry since moving to Cornwall 5 years ago and would certainly recommend them."
Treatment: Veneers
